BZU PAGES: Find Presentations, Reports, Student's Assignments and Daily Discussion; Bahauddin Zakariya University Multan

BZU PAGES: Find Presentations, Reports, Student's Assignments and Daily Discussion; Bahauddin Zakariya University Multan (http://bzupages.com/)
-   Designed Pictures (http://bzupages.com/318-designed-pictures/)
-   -   Chinese boy has 34 Fingers.. (http://bzupages.com/f318/chinese-boy-has-34-fingers-9030/)

Raheel 27-03-2010 12:31 PM

Chinese boy has 34 Fingers..
 
9 Attachment(s)
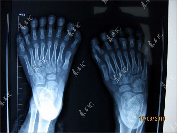
This Chinese boy has 34 fingers.Now he has to undergo a surgery to remove extra fingers.The previous world record was 25 fingers.

Attachment 14922

Attachment 14923

Attachment 14924

Attachment 14925

Attachment 14926

Attachment 14927

Attachment 14928

Attachment 14929

Attachment 14930

momna gull 27-03-2010 12:50 PM

Re: Chinese boy has 34 Fingers..
 
ye pics kahan se mil gayeen kia ye real hain?

usman_latif_ch 27-03-2010 09:02 PM

Re: Chinese boy has 34 Fingers..
 
han real hain mein ny geo pr bhi isski news suni ha

Raheel 29-03-2010 11:09 AM

Re: Chinese boy has 34 Fingers..
 
Yeah its real you can also search in google, tumhain buhut saray links mil jayengay.. :)


All times are GMT +5. The time now is 12:37 PM.

Powered by vBulletin® Version 3.8.2
Copyright ©2000 - 2026, Jelsoft Enterprises Ltd.