BZU PAGES: Find Presentations, Reports, Student's Assignments and Daily Discussion; Bahauddin Zakariya University Multan

BZU PAGES: Find Presentations, Reports, Student's Assignments and Daily Discussion; Bahauddin Zakariya University Multan (http://bzupages.com/)
-   Health and Nutrition (http://bzupages.com/304-health-nutrition/)
-   -   Natural therapy for heart vein opening (http://bzupages.com/f304/natural-therapy-heart-vein-opening-4222/)

irfishahpk 06-06-2009 11:20 AM

Natural therapy for heart vein opening
 
2 Attachment(s)
For Heart Vein opening

1) Lemon juice 01 cup
2) Ginger juice 01 cup
3) Garlic juice 01 cup
4) Apple vinegar 01 cup

Mix all above and boil in light flame approximately half
hour, when it becomes 3 cups, take it out and keep it
for cooling. After cooling, mix 3 cups of natural honey
and keep it in bottle.

Every morning before breakfast use one Table spoon
regularly. Your blockage of Vein's will open
(No need any Angiography or By pass)

************************
This is e-mail received from a person working in a Software Company

Dear colleagues, I am working in Blore Software City ..... I wanted to share an incident of my life with you, hoping that it may be an eye opener to you so that you can live more years.

On 27th October afternoon, I had severe heart attack symptom and I was rushed to the hospital.

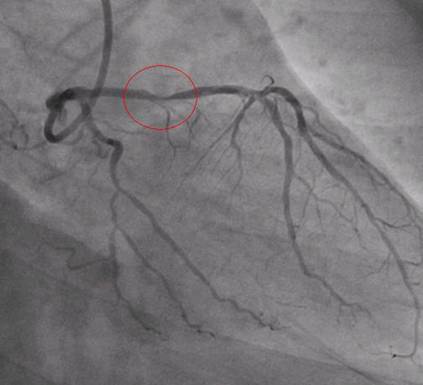
After reaching to the hospital, the doctors prescribed a test called angiogram. This test is basically to identify blood flow of heart arteries. When they finished the test they found a 94% block in the main artery, please see the image below with red circle.
At this point, I wanted to share my living style, which has caused this block in my heart arteries. Please see the below points of my life style, if any of these points are part of your life style then you are at risk, please change yourselves.

1. I was not doing any physical exercise for more than 10 years ,not even walking 30 minutes a day for years.

2. My food timings are 11:00 AM Breakfast or no Breakfast, 3:00 PM to 4:00 PM Lunch and dinner at 11:00 PM to 12:00 AM.

3. Sleeping in very odd timings, going to bed between 12:00 AM and 3:00 AM. Waking up at between 9:00 AM and 10:30AM ........ Some times spending sleepless nights.

4. I used to eat heavily because of long gaps between lunch and dinner and I used to make sure that Non-Veg is available most of the time, there were times when I did survey on city hotels to find delicious Non-Veg dishes. I was never interested in vegetable and healthier food.

5. Above all I was chain smoker from years.

6. My father passed away due to heart problems, and the doctors say the heart problems are usually genetic.

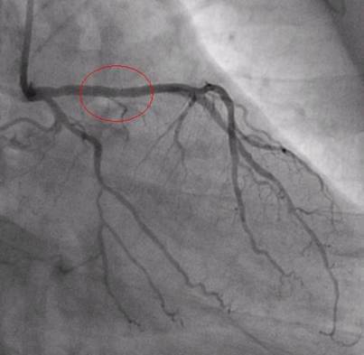
Once they identified the major block they have done immediately a procedure called angioplasty along with 2 Stints, mean they will insert a foreign body into the heart arteries and open the blocked area of arteries. Please see the below image after the procedure.
I learnt from the doctors that 60% people will die before reaching the hospital,20% people will die in the process of recovering from heart attack and only 20% will survive .. In my case, I was very lucky to be part of the last 20%.

Doctors instructions:

1.Need to have physical exercise for minimum of 45 minutes daily.
2.Eat your food at perfect timings, like how you eat during your school days. Eat in small quantities more times and have lot of vegetables and boiled food, try to avoid fry items and oily food. Fish is good than other non-vegetarian food.
3.Sleep for 8 hours a day, this count should complete before sun rising.
4.Stop smoking.
5.Genetic problems, we cannot avoid but we can get away from it by having regular checkups.
6.Find a way to get relived from the stress (Yoga, Meditation etc).

So I urge you all to please avoid getting into this situation, it is in your hands to turn the situation up side down, by just planning / changing your life style, by following simple points above.

Be fit like:banana:

ghazala 06-06-2009 02:00 PM

Re: Natural therapy for heart vein opening
 
Its true as i also read in a pakistani magzine.
nice sharing here

Anxious Soul 07-06-2009 02:56 PM

Re: Natural therapy for heart vein opening
 
Nice sharing.


All times are GMT +5. The time now is 11:37 AM.

Powered by vBulletin® Version 3.8.2
Copyright ©2000 - 2026, Jelsoft Enterprises Ltd.